Icon
Icon

Qu'est-ce ?

Le spondylolisthesis L5 est un glissement en avant de la 5° vertèbre lombaire par rapport au sacrum. Le glissement est du à une fracture progressive (lyse) à la jonction (isthme) entre la partie antérieure et la partie postérieure de la 5° vertèbre. D’où le nom de spondylolisthésis par lyse isthmique. C’est une anomalie très fréquente (environ 3% à 5% de la population).

Icon

Cause

La lyse et le glissement se produisent le plus souvent avant la puberté entre 5 et 10 ans. Plusieurs facteurs sont incriminés :

  • La position debout. En position debout, il existe des contraintes mécaniques sur l’isthme, qui peuvent entraîner une lyse osseuse, puis le glissement de la partie antérieure de la vertèbre.
  • Les contraintes répétées sur l’isthme liées aux exercices sportifs répétés. Ceci explique la plus grande fréquence du spondylolisthésis chez les sportifs, notamment les gymnastes ou les plongeurs.
  • Les facteurs génétiques. Il existe des formes familiales de spondylolisthésis. Le spondylolisthésis peut être plus fréquent dans certaines populations (Par exemple chez les esquimaux).

Icon

Symptomes

Très souvent (environ 3/4 des cas) il n’y a aucun symptôme. Le spondylolisthésis est de découverte fortuite sur une radiographie réalisée à la suite d’une chute ou d’un traumatisme. Dans 1/4 des cas, le spondylolisthésis est responsable de lombalgies avec parfois des douleurs de type sciatique au niveau des membres inférieurs. Ces douleurs sont d’allure mécaniques, elles surviennent en position debout prolongée ou au cours d’activités sportives.

Icon

Pronostic

Il existe 2 formes de spondylolisthésis en fonction du glissement :

  • La forme stable est la plus fréquente (plus de 95% des cas). Le glissement est minime. Le pronostic est bon. Cette forme est compatible avec la poursuite d’une vie normale. S’il n’y a pas de douleur, aucun traitement n’est nécessaire et l’enfant peut poursuivre une vie normale sans restriction sportive. En cas de douleur un traitement fonctionnel peut être proposé, avec arrêt du sport rééducation et corset lombaire. Un traitement chirurgical est rarement nécessaire, il est proposé uniquement en cas de douleurs invalidantes réfractaires au traitement fonctionnel.
  • La forme instable est rare. Le glissement est important et risque de s’aggraver. Un traitement chirurgical est souvent proposé.

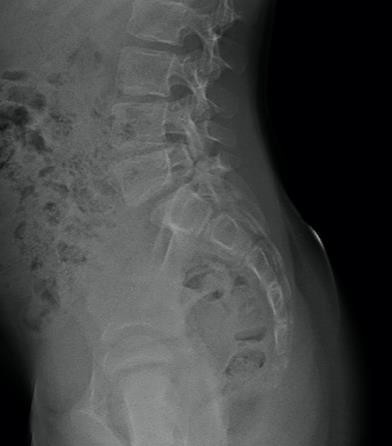
Radiographie d'un spondylolisthesis stable

Spondylolisthesis stable

Radiographie d'un spondylolisthesis instable

Spondylolisthesis instable

Icon

Quand en parler ?

Une consultation auprès d’un orthopédiste pédiatre est nécessaire en cas de douleur ou de glissement important.